METAMORFOZY

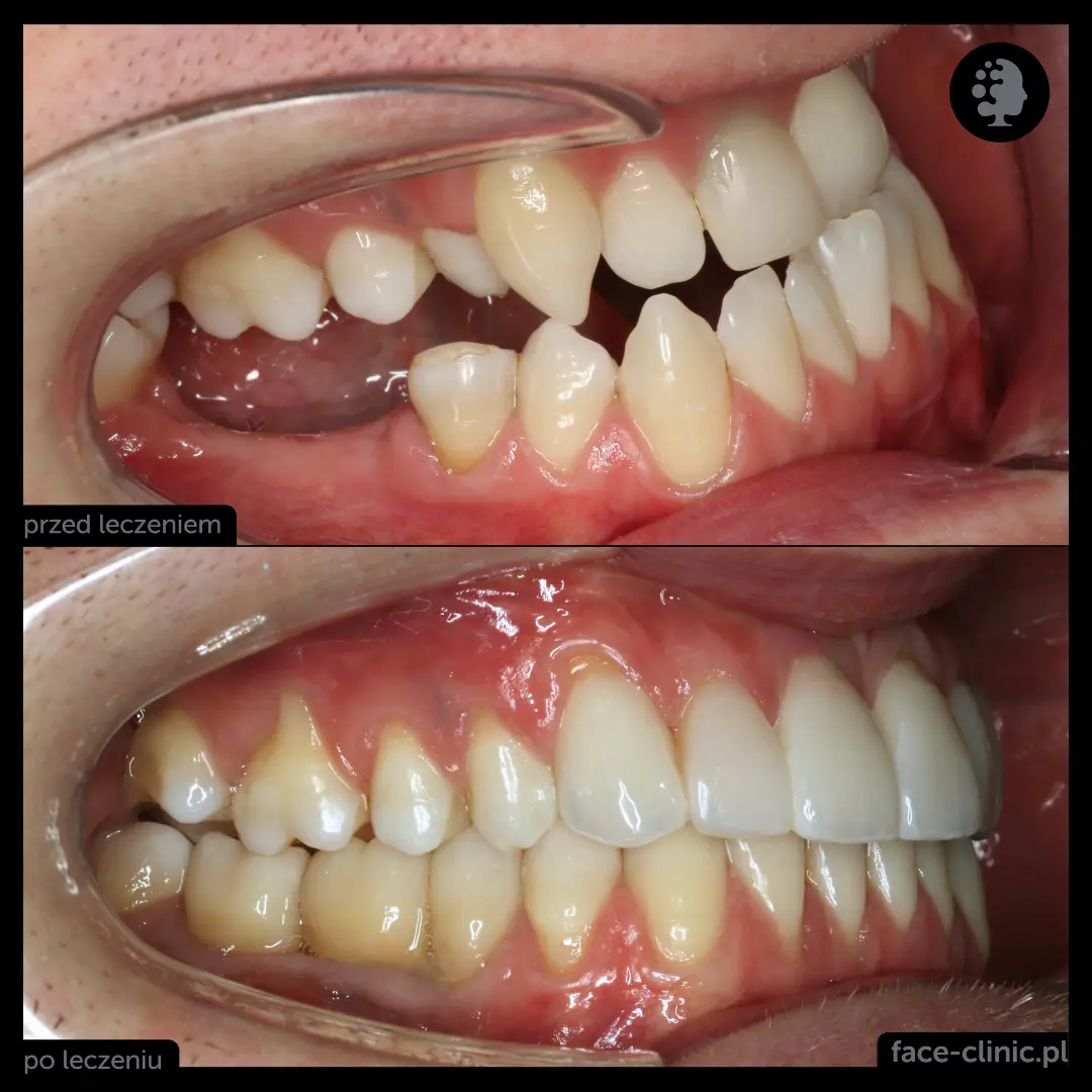
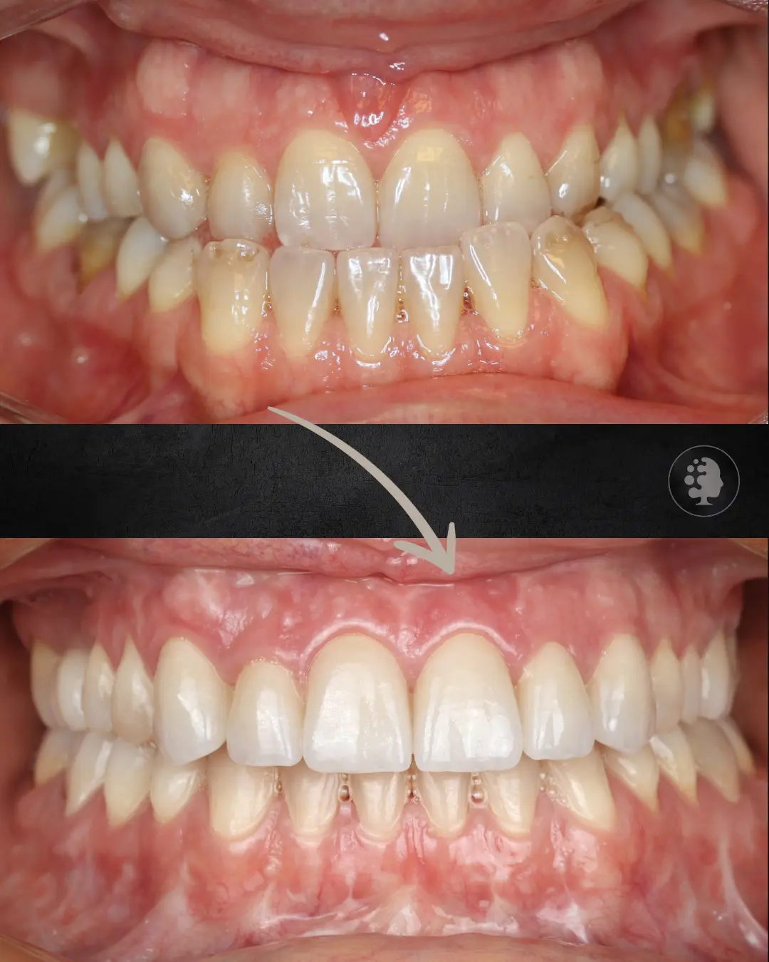
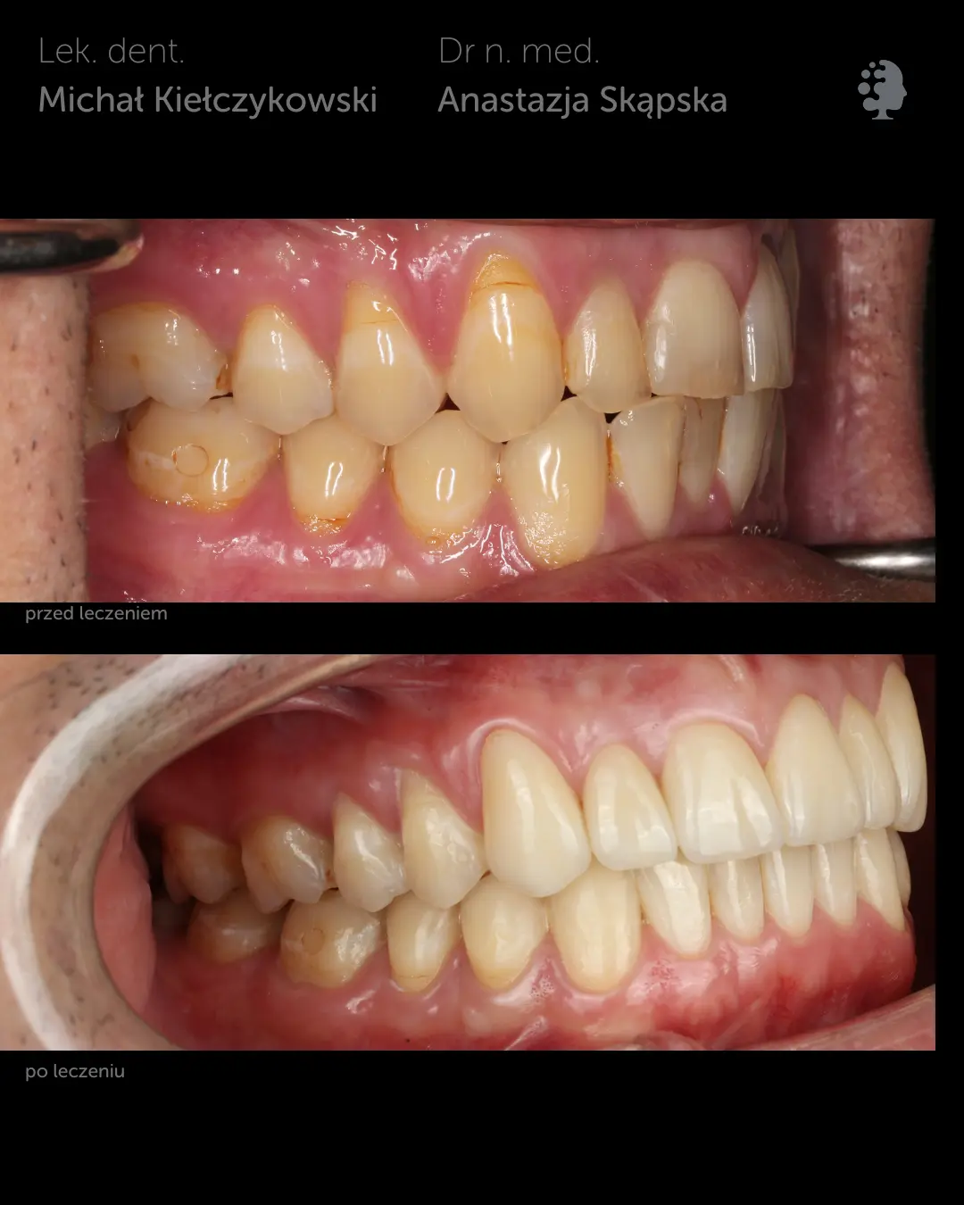
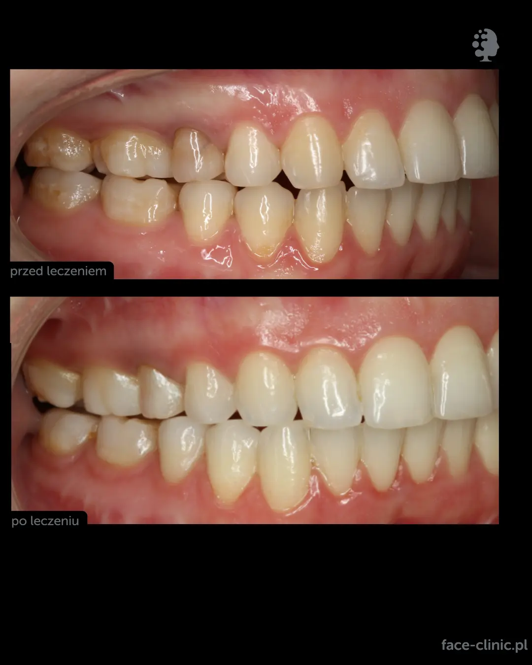
Kompleksowa odbudowa zębów w Face Clinic w Warszawie to nowoczesne i kompleksowe podejście do leczenia stomatologicznego, którego celem jest przywrócenie estetyki uśmiechu oraz pełnej funkcji uzębienia. Leczenie ma charakter wieloetapowy i wymaga współpracy doświadczonych lekarzy różnych specjalizacji. W Face Clinic w Warszawie wszystkie etapy leczenia stomatologicznego realizowane są w jednym miejscu, co zapewnia pacjentom maksymalny komfort, spójność terapii oraz najwyższe standardy opieki. Indywidualnie opracowany plan leczenia może obejmować leczenie zachowawcze i endodontyczne, profesjonalną higienizację, zabiegi z zakresu chirurgii stomatologicznej, periodontologii oraz protetyki. Kompleksowe i precyzyjne podejście zespołu Face Clinic jest kluczowe dla uzyskania trwałych, bezpiecznych i przewidywalnych efektów leczenia.

Metamorfozy ortodontyczne

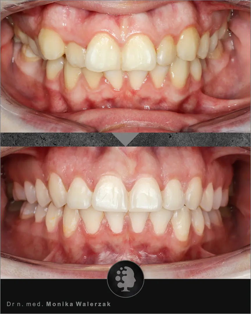
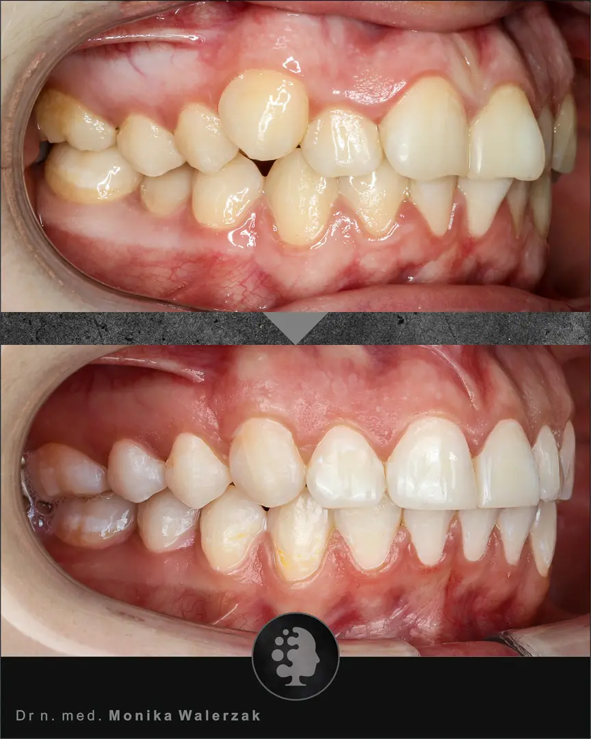
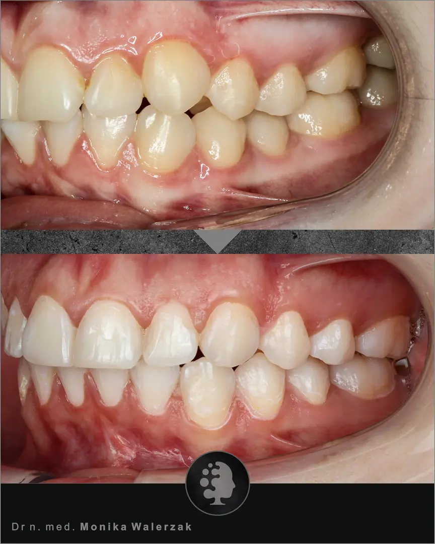
Pacjent : Pani Karolina
Leczenie ortodontyczne
Lekarze prowadzący
dr n. lek. med. Konrad Walerzak
lek. dent. Anna Salwa
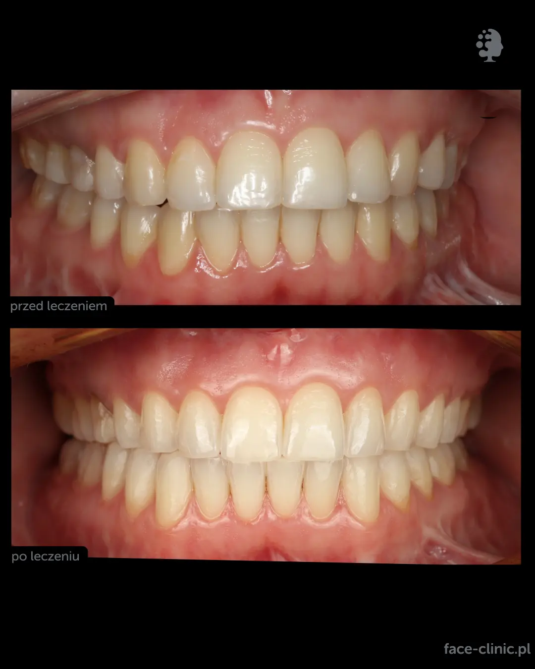
Pacjent : Pani Patrycja
Leczenie ortodontyczne
Lekarze prowadzący
dr n. med. lek. stom. Monika Walerzak
dr n. med. lek. stom. Konrad Walerzak
Efekt leczenia
ortodontyczno-chirurgicznego
wraz z rekonstrukcją estetyczną
wada szkieletowa
klasy 2  / tyłozgryz zgryz przewieszony
lewostronny zgryz głęboki całkowity
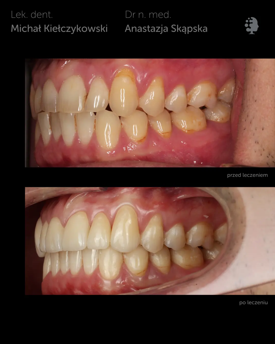
Pacjent : Pan Michał
Leczenie ortodontyczne
Lekarze prowadzący
dr n. med. lek dent. Monika Walerzak

Metamorfozy chirurgia ortognatyczna

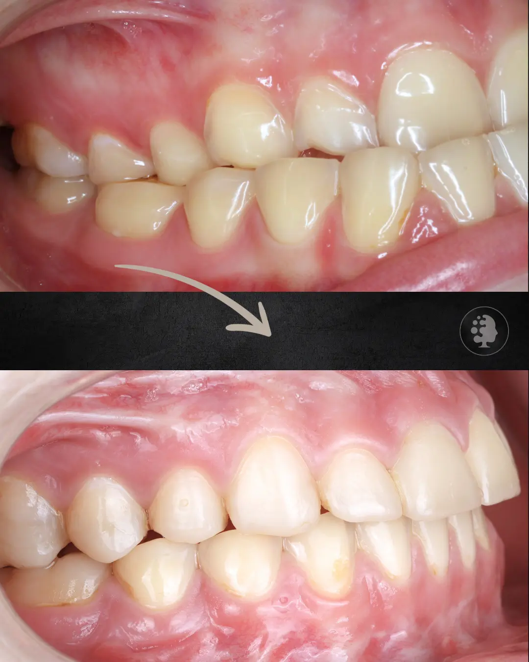
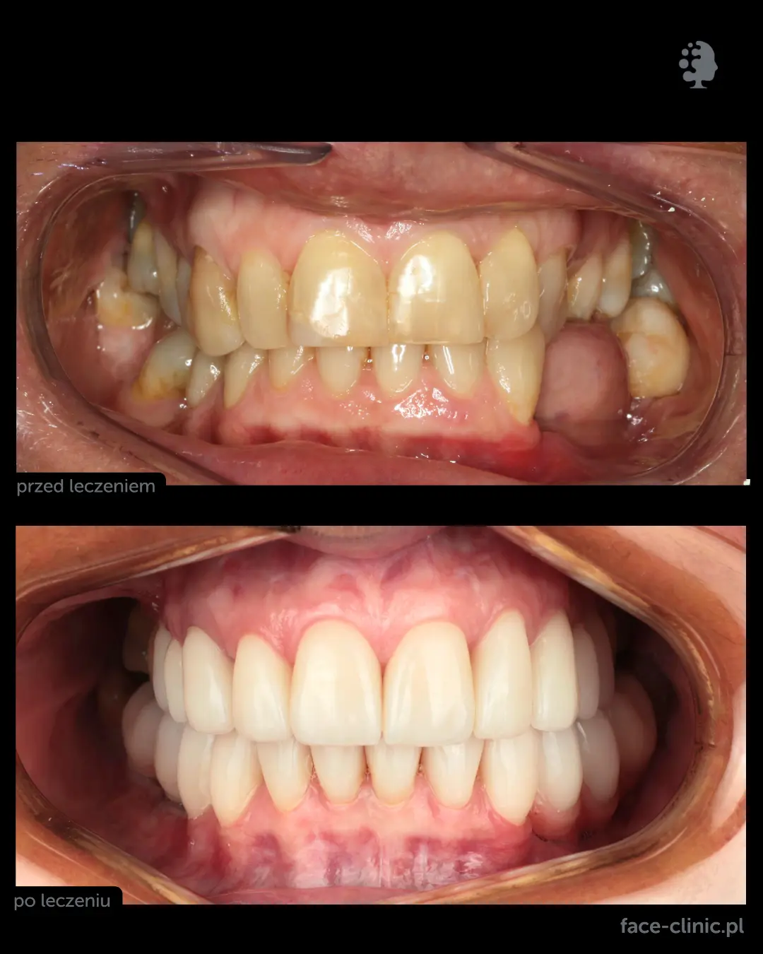
Pacjent : Pani Justyna
Leczenie ortodontyczno-chirurgiczne
Lekarze prowadzący
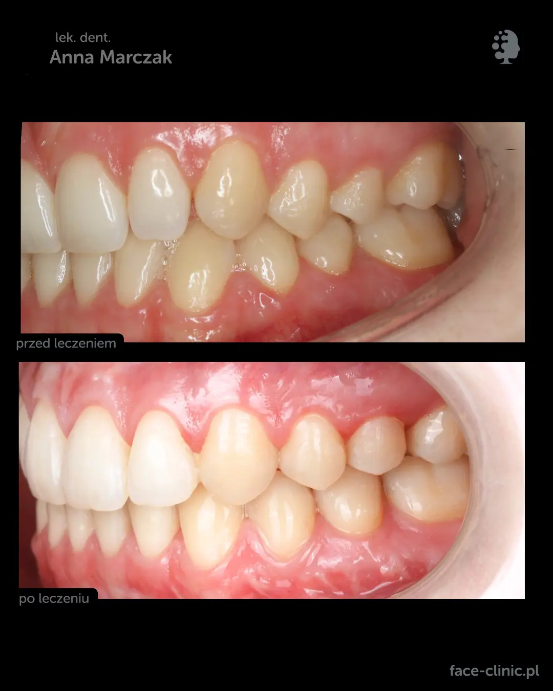
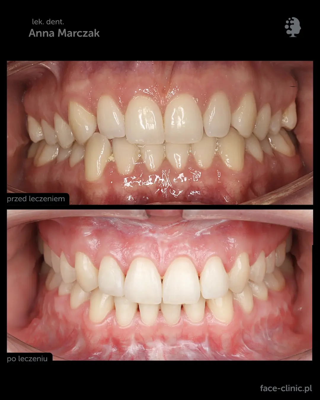
lek. dent. Anna Marczak
dr n. med. lek. stom. Konrad Walerzak
lek. dent. Aldona Siek
Pacjent: Pani Karolina
Kompleksowe leczenie ortodontyczne
Lekarze prowadzący
lek. dent. Milena Magdziak
dr n. med. lek. dent. Monika Walerzak
dr n. med. Konrad Walerzak
lek. dent. Anna Salwa

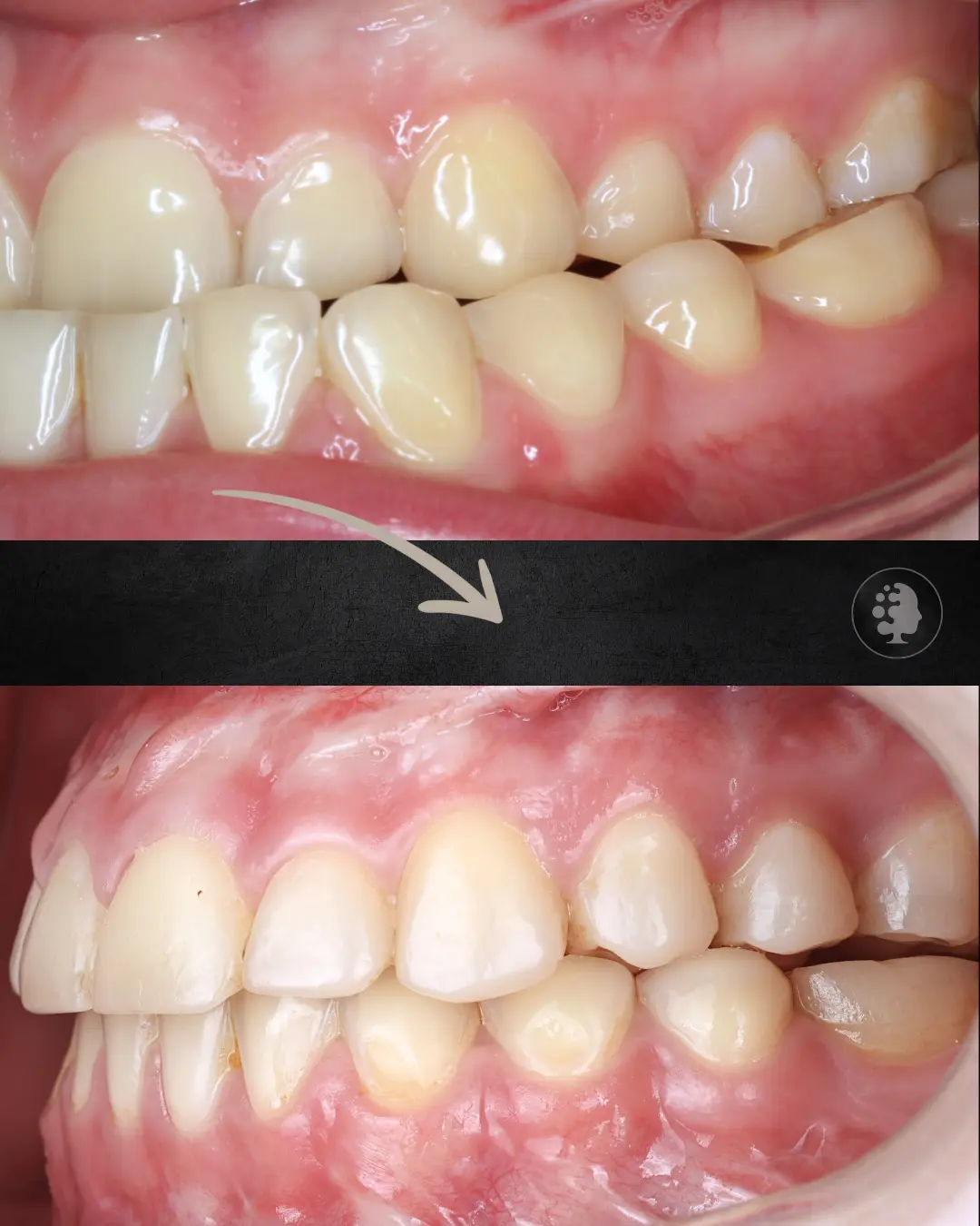
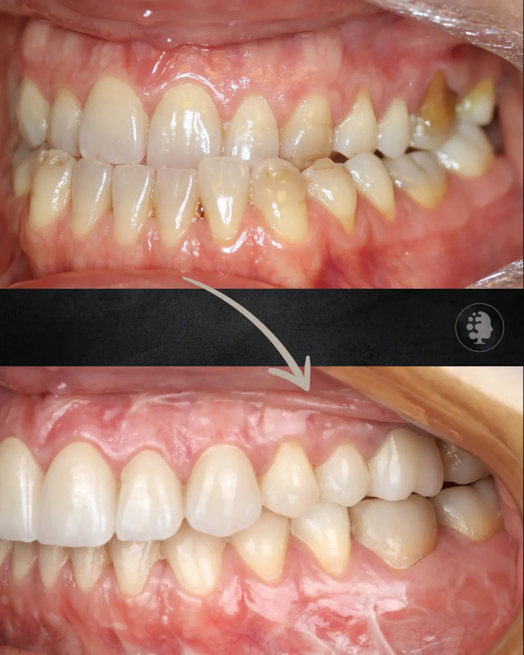
Metamorfozy protetyka

Metamorfozy Stomatologia zachowawcza

Pacjent: Pani Justyna
Kompleksowe leczenie ortodontyczne
Lekarze prowadzący
lek. dent. Anna Salwa
Pacjent : Pani Oliwia
Leczenie ortodontyczne
Lekarze prowadzący
dr n. med. lek. dent. Monika Walerzak
© Face-Clinic sp. z.o.o., sp. k.
projekt ARTREPUBLICA Rafał Poławski
ZADZWOŃ